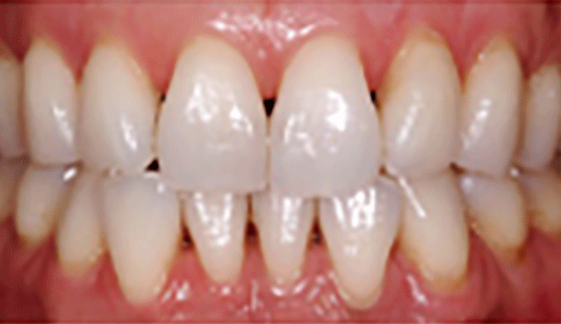
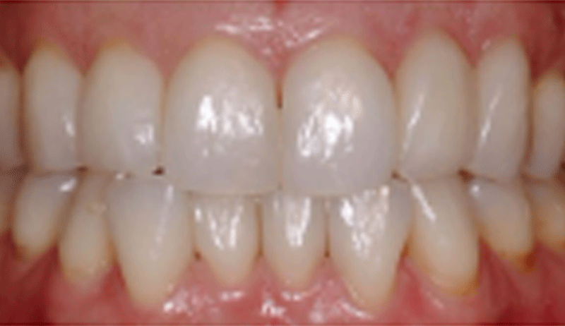
IPR is a quick and painless procedure that is designed to create a small space between the teeth. This space allows crowded teeth the room they need to adjust to their correct position. It can also help with "dark triangles" that appear by the gum line by flattening the natural curve of the tooth to create a small space between the teeth, then pushing the teeth together to close the gap.

